
特徴
■ 概要
1. 多様なFOV
診断目的に合わせて最大21X19から4X4まで撮影可能
2.1回のCT撮影で5種類の診断画像の取得が可能な
スマートフォーカス
3 .業界最小レベル49.5μmのエンドモード
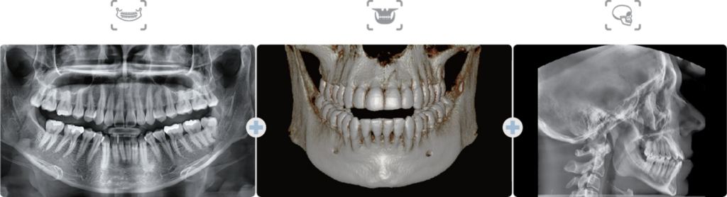
4. オートパノラマ/オートセファロ
5. フェイススキャン

■ 多様なFOV

| 項目 | FOV 4×4 / 5×5 | FOV 8×5 / 8×8 | FOV 12×5 / 12×9 | FOV 18×15 | FOV 21×19 |
|---|---|---|---|---|---|
| 撮影部位 | ・1歯単独撮影 | ・前歯部〜臼歯部 (中心歯列) ・顎関節(右 または 左) | ・上下顎同時 (上顎洞・下顎管含む) ・顎関節 (右 または 左) | ・下顎枝後縁部(Ramus) ・上下顎全体(第三大臼歯〜上顎洞含む) ・中切歯〜頚椎 | ・頭蓋骨ほぼ全体 ・鼻尖部〜後頭部 ・第5・6頚椎〜上顎洞上縁 |
| 臨床適応 | ・インプラント(単独埋入) ・歯内療法(根管治療) ・歯周病 ・難抜歯 (水平・完全埋伏智歯) ・口腔外科(OMS) ・過剰歯・矯正診断 | ・インプラント治療 ・ガイデッドサージェリー ・一般歯科 ・口腔外科(OMS) ・矯正歯科 | ・サージカルガイド作製 ・上顎洞底挙上術 (ソケットリフト・ラテラルアプローチ) ・骨造成術(GBR) ・両側性サイナスオーグメンテーション | ・サージカルガイド作製 ・両側上顎洞底挙上術 ・外科的矯正治療 (顎矯正手術) ・両側顎関節(TMJ)同時診断 | ・気道評価(上気道狭窄・睡眠時無呼吸) ・口腔顎顔面外科・顔面再建 ・複雑な顎矯正手術に伴う矯正治療計画 |
■ スマートフォーカス
スマートフォーカスとは 1回スキャンで5種の画像獲得ができる機能です。
領域を再指定し、他の部位の診断に活用可能
| 1 Full Arch image + 1 Auto Pano | 3 CT images with Endo Mode quality70㎛, FOV 4X4cm


■ 超高画質49.5μmのエンドモード
歯根端精密診断
根管・歯根湾曲度把握
微細根管および歯根端診断
> 根管治療の成功率向上をサポート
> 再治療の負担を低減

■ オートパノラマ/セファロ

1回撮影でパノラマ、セファロ画像まで撮影可能
必要な画像が最初からすべて揃うので、診断・説明・治療計画までがスムーズ
オートパノラマはFOV 21×19、18×15、12×9、Smart Focus
オートセファロはFOV21x19のみ
■ フェイススキャン
CTと3D画像のシームレス統合

患者の顔面の3D画像を提供
アルゴリズムで補正され自動で整合性の取れた重ね合わせ
CTスキャンとは別に単独で、または連続で取得できます。
■ モーションアーチファクト低減技術

ワンショットセファロ
スキャンタイム:0.9秒
モーションアーチファクトの最少化
パドルランプ
スタッフ個人や患者の理解の差によるズレを低減
患者の緊張感を減らし、
スタッフの案内も容易
ポジショニングのズレを低減

■ Green Partnership

安心の10年保証
10年間フールパーツを保証することで
ランニングコストは大幅に減少
充実なサポート
■ 寸法

■ 仕様
| 商品名 | Green X 21 |
| 機能 | CT + パノラマ + セファロ+モデルスキャン |
| 焦点寸法 | 0.5mm (IEC60336) |
| CT FOV サイズ | エンドモード(4X4),5X5/8X5,8X8/12X5,12X9/18X15/21X19 |
| ボクセルサイズ | (4X4) 0.05mm (5×5)0.08mm/0.12mm (8X5/8X8) 0.12mm/0.2mm (12X5/12X9)0.12mm/0.2mm/0.3mm (スマートフォーカス12X9)0.2mm/0.3mm (18X15)0.2mm/0.3mm (21X19)0.2mm/0.3mm |
| 撮影時間 | CT 5X5/12X5/18X5(Scout) :14.5秒 4X4: 18.1秒 5X5/8X5/8X8/12X5/12X9: 7.1秒 スマートフォーカス: 18.1秒 18X15/21X19: 18.3秒 パノラマ: 7.5秒 / 14.1秒 セファロ: 0.9秒 |
| 階調 | 16bit |
| 管電圧・管電流 | 60~99kVp/ 4~16mA |
| 重量 | 220.7kg [セファロ]245.3kg |
▼ご購入についてはこちら▼
